1475 mesto 0

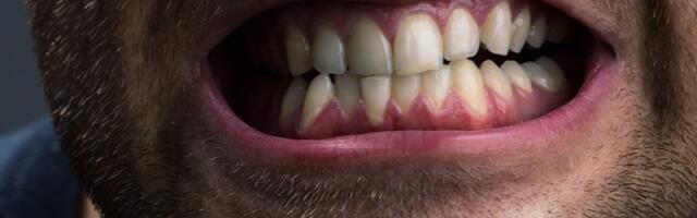
2366 Zubar moli ljude da nikako ne izbeljuju zube na ovaj način: "Ostaćete bez zuba"

Direktno :: Slobodno vreme
Direktno :: Slobodno vreme · 21.12.2025 00:00

Zubar moli ljude da nikako ne izbeljuju zube na ovaj način: "Ostaćete bez zuba"

Za mnoge je osmeh izuzetno važan. Žele da zubi budu ne samo pravilni, već i svetli i beli. Upravo zato mnogi na internetu traže brze, jeftine i navodno jednostavne trikove za izbeljivanje zuba.

Da biste videli detaljnu statistiku vesti, molimo da se ulogujete »

Pročitaj izvorno

Add your comment
You must be logged in with Facebook to read and write comments.

Newsletter svaki dan!

Možete dobiti 10 najvažnijih vesti oko podneva u dnevnom newsletteru. Pritisnite taster i poslaćemo samo najvažnije vesti, bez spama.

ili se registrujte

LAJKUJ nas na Fejsbuku i neces propustiti najvaznije vesti dana!

Novosti sa izvora
Direktno :: Slobodno vreme Direktno :: Slobodno vreme
Спутњик Вести
Спутњик Вести 1 mesto · danas 11:46

Кремљ: Захеви ЕУ усмерени на антагонизацију Србије са Русијом

Москва је свесна захтева ЕУ према Србији који су усмерени на антагонизацију Србије са Русијом, рекао је портпарол Кремља Дмитриј Песков. Pročitaj više

0 novajlija

🔮
23.04.2026 ♉︎ Драги Телићу, данас ће вам донети посебно расположење и јединствене могућности у различитим сферама вашег... Pročitaj više ›
Политика Online
Политика Online 2 mesto · danas 11:45

Холанђани отворили сезону кампа „Зла­ти­бор”

Камп „Зла­ти­бор” отво­рио је ово­го­ди­шњу се­зо­ну ра­да уз ве­ли­ко ин­те­ре­со­ва­ње ту­ри­ста из Хо­лан­ди­је, ис­ти­чу у Ту­ри­стич­кој ор­га­ни­за­ци­ји Зла­ти­бор Pročitaj više

0 novajlija

Nedeljnik.rs
Nedeljnik.rs @ Nedeljnik.rs 1 mesto · danas 11:44

Šta pad Viktora Orbana zaista znače za Srbiju: Velika analiza u štampanom izdanju Nedeljnika

Politički put jednog srpskog lidera veoma podseća na Viktora Orbana. Ukazao se prvo kao dašak liberalizma (koliko je to bilo moguće u postkomunističkim zemljama), kao antiteza dominirajućim konzervativnim narativima, svakako „American darling“ odakle je i dolazio vetar podrške, nije se u prvom naletu dugo zadržao na vlasti, a u drugom svom ukazivanju vremenom je postao […] Pročitaj više

0 novajlija

Telegraf
Telegraf 1 mesto · danas 11:43

Meta instalira softver na računare zaposlenih kako bi pratila sve što rade, a imaju i dodatni cilj

Kao da softver za praćenje aktivnosti instaliran na vašem radnom računaru, koji vas "odaje" ako ste predugo odsutni od tastature, nije bio dovoljan, Meta podiže. Pročitaj više

0 novajlija

Telegraf
Telegraf 2 mesto · danas 11:43

Rafael Nadal otkrio da li bi voleo da mu se dete bavi tenisom: "Da budem iskren..."

Legendarni Rafael Nadal pričao je za The Masters o potencijalnom teniskom angažmanu njegovog sina u budućnosti i naveo da nema baš direktnu želju da ga vidi u. Pročitaj više

0 novajlija

Telegraf
Telegraf 3 mesto · danas 11:40

Miljana napravila VENČANJE SA TEMUA: Sve kao iz bajke, ostaćete u šoku kad čujete koliko je platila venčanicu

Miljana je čitavu bajkovitu dekoraciju za venčanje poručila sa Temua, a verovali ili ne svoju venčanicu je takođe poručila sa kineskog sajta - i to sa Šejna. Pročitaj više

0 novajlija

Informer - Današnje vesti
Informer - Današnje vesti 2 mesto · danas 11:40

(VIDEO) Muškarci odlepili za seksi trampovkom, a onda... Svet zgrožen nakon jezive istine koja je isplivala - evo ko se krije iza "lepotice"

Popularna influenserka koja je na društvenim mrežama stekla veliku podršku među konzervativnim korisnicima u Sjedinjenim Američkim Državama zbog objava u korist Donalda Trampa ispostavila se kao potpuno veštački generisana ličnost. Pročitaj više

0 novajlija

Спутњик Вести
Спутњик Вести 2 mesto · danas 11:39

Пресуђена накнада штете породицама двоје настрадалих приликом пада надстрешнице у Новом Саду

Виши суд у Новом Саду донео је две пресуде којима су „Инфраструктура железнице Србије“ и Република Србија обавезане да солидарно исплате 93 милиона динара члановима породица страдалих у паду надстрешнице на Железничкој станици, као накнаду нематеријалне штете због душевних болова. Pročitaj više

0 novajlija

Informer - Današnje vesti
Informer - Današnje vesti 3 mesto · danas 11:39

"Nismo znali da je Hamilton toliko očajan": Sportistu urnišu zbog veze sa Kim Kardašijan

Fanovi Luisa Hamiltona ne prestaju da komentarišu njegovu vezu sa Kim Kardašijan, a reakcije na društvenim mrežama postaju sve oštrije kako njihova romansa dobija na intenzitetu. Pročitaj više

0 novajlija

Blic - Današnje Vesti
Blic - Današnje Vesti 1 mesto · danas 11:39

Novi najmanji električni Smart stiže u septembru: Cena od 25.000 evra i povratak u “gradsku džunglu”

Nakon što se brend Smart u protekle dve godine fokusirao na veće SUV modele sa oznakam #1 i #3, kompanija se zvanično vraća svom izvornom konceptu – kompaktnom gradskom automobilu. Novi Smart Concept #2, koji je upravo predstavljen, direktna je najava serijskog modela koji će premijeru imati u septembru ove godine, verovatno na sajmu u Minhenu ili sličnom evropskom salonu. Pročitaj više

0 novajlija

Telegraf
Telegraf · danas 11:37

Direktor "Srbiјavoda" dobitnik priznanja povodom Dana opštine Gornji Milanovac

Povodom obeležavanja Dana opštine Gornji Milanovac i 211 godina od Drugog srpskog ustanka, u Gornjem Milanovcu јe održana svečana sednica Skupštine opštine, na. Pročitaj više

0 novajlija

Kurir
Kurir 1 mesto · danas 11:37

"ZA SVE JE KRIVA ONA" Komšije razvezale jezik o jezivom zločinu u Hrtkovcima: Tinejdžer je planirao da ide za Švajcarsku... Možda je imao pomagače?!

"ZA SVE JE KRIVA ONA" Komšije razvezale jezik o jezivom zločinu u Hrtkovcima: Tinejdžer je planirao da ide za Švajcarsku... Možda je imao pomagače?! Pročitaj više

0 novajlija

Telegraf
Telegraf · danas 11:36

Deda mu bio slavni fudbaler Zvezde, dao 19 golova za omladince, sada je debitovao za Čukarički u SL

Golova nije bilo, čak ni previše uzbuđenja, ali će se meč između OFK Beograda i Čukaričkog ipak pamtiti po nečemu važnom - debiju supertalentovanog Matea. Pročitaj više

0 novajlija

The most popular news from the same source for the last week
Direktno :: Slobodno vreme Direktno :: Slobodno vreme
Direktno :: Slobodno vreme
Direktno :: Slobodno vreme 2 mesto · 17.04.2026 00:00

Trikovi za čišćenje doma koji štede vreme: Tepih svež za samo nekoliko minuta

U užurbanom svakodnevnom ritmu, kućni poslovi često padaju u drugi plan, a čišćenje se mnogima čini kao beskonačna obaveza. Prašina i nered se brzo vraćaju, pa potraga za jednostavnijim i bržim rešenjima postaje sve važnija. Upravo zato društvene mreže poput TikTok i Instagram sve češće služe kao izvor praktičnih saveta koji olakšavaju održavanje doma. Pročitaj više

0

Direktno :: Slobodno vreme
Direktno :: Slobodno vreme 3 mesto · 17.04.2026 00:00

Obratite pažnju! Zbog ove greške na aerodromu mogu da vam oduzmu telefon

Avio-kompanije i aerodromske službe upozoravaju putnike da pre leta moraju imati napunjene elektronske uređaje, jer prazna baterija može predstavljati bezbednosni rizik i dovesti do zabrane ukrcavanja. Pročitaj više

0

Direktno :: Slobodno vreme
Direktno :: Slobodno vreme · 17.04.2026 00:00

Spavanje sa decom: Šta je zaista bezbedno, a čega se roditelji bez razloga plaše

Tema zajedničkog spavanja dece i roditelja odavno izaziva podeljena mišljenja. Dok jedni u tome vide prirodan način pružanja sigurnosti detetu, drugi strahuju da bi mogli napraviti grešku. Ipak, savremeni pristupi roditeljstvu sve više naglašavaju važnost razumevanja dečjih potreba i emocionalne bliskosti. Pročitaj više

0

Direktno :: Slobodno vreme
Direktno :: Slobodno vreme 1 mesto · 18.04.2026 00:00

Zašto psi u proleće češće povraćaju? Simptomi koje ne smete ignorisati

Sa dolaskom toplijih dana mnogi vlasnici primećuju isti problem, pas češće povraća. Iako se to često pripisuje „prolećnim virusima“, pravi uzrok obično nije samo godišnje doba, već promene koje ono donosi. Pročitaj više

0

Direktno :: Slobodno vreme
Direktno :: Slobodno vreme 2 mesto · 18.04.2026 00:00

Papagaji koji plešu nisu slučajnost: Nauka otkriva nešto neverovatno

Dugo se na snimke papagaja koje „plešu“ gledalo kao na simpatičnu slučajnost ili dresuru — nešto što izgleda zabavno, ali nema dublje značenje. Ipak, mnogima je bilo teško da poveruju da su ti pokreti zaista nasumični. Kada papiga počne da klima glavom, cupka i okreće se tačno u ritmu muzike, utisak je previše precizan da bi bio puka slučajnost. Upravo to je podstaklo naučnike da postave ozbiljno pitanje: da li... Pročitaj više

0

Direktno :: Slobodno vreme
Direktno :: Slobodno vreme 3 mesto · 18.04.2026 00:00

60.000 evra godišnje za život sa psom: Posao iz snova ili odgovornost bez pauze?

U moru oglasa za posao koji nude standardne uslove i očekivanja, jedan je posebno privukao pažnju – i to ne bez razloga. Naime, jedna porodica nudi čak 60.000 evra godišnje za osobu čiji će primarni zadatak biti da brine o njihovom psu. Pročitaj više

0

Direktno :: Slobodno vreme
Direktno :: Slobodno vreme · 18.04.2026 00:00

Od Libana do Beograda: Priča o dervišu Muhamedu Naseru

Na prvi pogled, kuća u jednom delu Voždovca ne odaje utisak da se iza njenih vrata okuplja derviška zajednica. Bez natpisa, bez posebnih obeležja. Ipak, upravo tu nalazi se tekija, a u njoj Muhamed Nasir – Libanac koji već godinama živi u Beogradu i vodi svoju duhovnu zajednicu. Pročitaj više

0

Direktno :: Slobodno vreme
Direktno :: Slobodno vreme · 18.04.2026 00:00

Jatagan mala: Zaboravljeno lice starog Beograda!

Iako je odavno nema na mapi, Jatagan mala nikada nije nestala iz sećanja. Ovo naselje, koje danas postoji samo u pričama i zapisima, ostalo je upamćeno kao simbol sirovog i ogoljenog Beograda između dva rata. Pročitaj više

0

Najpopularniji izvori

  • Vidiš 2,870 vesti od ukupno 2,870.
  • 205 izvora od ukupno 206.
Economy 0%
Auto Magazin 0%
Нови Стандард 0%
Informer - Sport 0%
Republika - Estrada 0%
Pogledaj izvore »

LAJKUJ nas na Fejsbuku i neces propustiti najvaznije vesti dana!

23.04.2026 11:57
Ažurirano: 11:52.
Pozicija vesti je ažurirana u: 12:50

Šta je Svetionik.com?

Svetionik.com ti donosi najpopularnije vesti sa srpskih news portala u tabeli u realnom vremenu.

Prijatelji sajta

Ocenjivanje slika
Upoznavanje preko Interneta
Prevoz do aerodroma
Honorarni poslovi Beograd

Pročitaj o nama u FAQ sekciji

In another language

Српски / srpski Eesti keel (Eesti uudised) Русский язык (новости Эстонии) Українська мова (новини Естонії)


Svetionik.com © 2026