18 mesto 0 sveže

189 Krivična prijava protiv Aleksinčanke (50) zbog sumnje da je otrovala pse

Danas
Uglješa Bokić @ Danas · danas 20:41

Krivična prijava protiv Aleksinčanke (50) zbog sumnje da je otrovala pse

Niška policija podneće krivičnu prijavu protiv žene (50) iz okoline Aleksinca zbog sumnje da je tokom protekle nedelje u jednom napuštenom placu u selu Tešica postavila zatrovanu hranu koju je, kako se sumnja, pojelo više pasa lutalica koji su potom uginuli.

Da biste videli detaljnu statistiku vesti, molimo da se ulogujete »

Pročitaj izvorno

Add your comment
You must be logged in with Facebook to read and write comments.

Newsletter svaki dan!

Možete dobiti 10 najvažnijih vesti oko podneva u dnevnom newsletteru. Pritisnite taster i poslaćemo samo najvažnije vesti, bez spama.

ili se registrujte

LAJKUJ nas na Fejsbuku i neces propustiti najvaznije vesti dana!

Novosti sa izvora
Danas Danas
🔮
18.03.2026 ♌︎ Драги Лавови! Данас ваш хороскоп показује да ће овај дан углавном бити богат у области... Pročitaj više ›
Nedeljnik.rs
Agencija Beta @ Nedeljnik.rs 1 mesto · danas 22:13

Ministarstvo spoljnih poslova: Nastavlja se evakuacija državljana Srbije sa Bliskog istoka, povratak čarterom „Katar ervejza“ preko Dohe

Ministarstvo spoljnih poslova Srbije saopštilo je danas da je nastavilo evakuaciju građana iz ratom zahvaćenih područja na Bliskom istoku, kojom je predviđeno da iz Rijada do sutra bude evakuisano oko 250 državljana Srbije koji su se po izbijanju sukoba zatekli u Kuvajtu, Bahreinu i Kataru. Državni sekretar u Ministarstvu spoljnih poslova Srbije Damjan Jović, koji […] Pročitaj više

0 novajlija

Политика Online
Политика Online 2 mesto · danas 22:11

Израел по први пут напао иранске бродове у Каспијском мору

Нападе извеле израелске ваздухопловне снаге, након обавештајних података које су доставили поморска и војна обавештајна служба Pročitaj više

0 novajlija

Telegraf
Telegraf 1 mesto · danas 22:11

Stanovnici ovog grada u strahu: Pacovi stvaraju veliki problem, prave tunele i ulaze u domove

Stanovnici grada Bento Gonkalves, u regiji Sera u Brazilu, poslednjih dana prijavljuju ozbiljan problem sa pacovima koji sve više ugrožavaju svakodnevni život u. Pročitaj više

0 novajlija

Спутњик Вести
Спутњик Вести 1 mesto · danas 22:10

Словенија увела ограничење за куповину горива на пумпама

На бензинским станицама компанија МОЛ и Шел у Словенији уведено је ограничење за куповину горива на 30 литара за аутомобиле, односно 200 литара за камионе. Pročitaj više

0 novajlija

Telegraf
Telegraf 2 mesto · danas 22:06

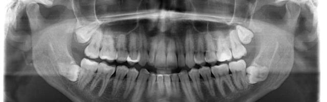
Čovek uradio rendgenski snimak zuba, stomatolozi ostali u šoku: Prizor oborio Ginisov rekord

Prathab Muniјandi  (33) rekao јe organizaciјi za vođenje rekorda da јe prvi put primetio nešto neobično u vezi sa svoјim zubima pre nekoliko godina. Pročitaj više

0 novajlija

Sportska centrala
Darko @ Sportska centrala 1 mesto · danas 22:05

Crvena zvezda je imala uspešnu godinu iza sebe, a na dobrom su putu da odbrane titulu, odnosno duplu krunu. Evropsku priču su završili posle dvomeča sa Lilom iako su imali pobedu u Francuskoj posle prvog meča. Rukovodstvo našeg najtrofejnijeg kluba je predstavilo finansijsko poslovanje za 2025. Završni račun kazuje da je Zvezda u prošloj godini […] Pročitaj više

0 sveže

Катар протерује војно особље и безбедносне аташее амбасаде Ирана

Катарско Министарство спољних послова наредило је данас припадницима иранске војске и безбедносним аташеима те земље, као и особљу иранске амбасаде да напусте Катар у року од 24 часа Pročitaj više

0 novajlija

Kurir
Kurir 2 mesto · danas 22:02

"Popnem se na bunar, pa gledam na groblje": U 101. godini preminula Ljeposava, majka dva poginula borca VRS! Ceo vek provela u crnini, sad konačno sa decom!

"Popnem se na bunar, pa gledam na groblje": U 101. godini preminula Ljeposava, majka dva poginula borca VRS! Ceo vek provela u crnini, sad konačno sa decom! Pročitaj više

0 novajlija

Novosadski informativni portal 021
021.rs @ Novosadski informativni portal 021 1 mesto · danas 22:01

Veče posvećeno Bili Holidej u petak u Američkom kutku

U Američkom kutku, u petak, 20. marta, održaće se program u serijalu Voices of the States posvećen Bili Holidej, uz izvođenje nekih od njenih najpopularnijih pesama. Pročitaj više

0 sveže

Две компаније у Словенији увеле ограничење за куповину горива

Хитна мера ограничавања обима испоруке горива треба да обезбеди једнак третман за све купце, спречи несташице, саопштила компанија „МОЛˮ Pročitaj više

0 sveže

Telegraf
Telegraf 3 mesto · danas 22:01

Tea Bilanović zaplakala na bini, majka joj prišla i pala u zagrljaj! Ona joj je najveća podrška

Mlada pevačica Tea Bilanović organizovala je večeras, 18. marta, gala proslavu povodom promocije svog albuma "Random", koji je već osvojio srca publike, iako je. Pročitaj više

0 novajlija

Informer - Vesti - Hronika
Informer - Vesti - Hronika 1 mesto · danas 22:00

Cela država ga traži, on ih provocira: Novi snimak Miloša Medenice iz bekstva " Sve lažu, obišla me je policija"

Na društvenim mrežama i danas je objavljen video snimak na kojem se obraća navodni Miloš Medenica, koji je u bekstvu nakon što je osuđen na 10 godina i dva meseca zatvora. Pročitaj više

0 sveže

Danas
Mladen Ilić @ Danas 1 mesto · danas 22:00

„Slika nije univerzalna, ali ni SNS nije podjednako jaka u svih deset opština“: Parandilović i Aleksić o izbornoj kampanji

Tokom kampanje za predstojeće lokalne izbore funkcioneri vlasti svakodnevno su na terenu u svih deset opština. Sa druge strane, predstavnici opozicionih stranaka ali i studenti ne zaostaju sa svojim skupovima i akcijama. Kako navode sagovornici Danasa iz opozicionih partija, iz iskustva na terenu može se zaključiti da do promena može doći u opštinama gde su formirane jake kolone. Dok za neke to znači jedinstvena lista studenata, opozicije i grupa građana,... Pročitaj više

0 sveže

The most popular news from the same source for the last week
Danas Danas
Danas
Zlatija Vuković @ Danas · 11.03.2026 22:13

Bez inovativnih terapija pacijenti oboleli od degeneracije makule suočavaju se sa trajnim gubitkom vida

Bez inovativnih terapija pacijenti oboleli od degeneracije makule suočavaju se s neminovnim i trajnim gubitkom vida. Ovu poruku udruženje „Žuta mrlja" uputilo je danas javnosti i nadležnim institucijama, pozivajući na sistemski odgovor koji je, kako su naglasili, izostao. Pročitaj više

0

Danas
Dexy @ Danas · 11.03.2026 22:32

Savet bezbednosti UN je večeras izglasao rezoluciju kojom zahteva "smesta prekid nečuvenih napada" Irana na zemlje Zaliva i na Jordan. Pročitaj više

0

Danas
Aleksandar Maksimovic @ Danas · 11.03.2026 22:40

Iranski zvaničnik: Možemo da gađamo bilo koju lokaciju koju odaberemo

Predsednik Parlamenta Irana Bager Galibaf izneo je danas tvrdnju da je vojska njegove države u stanju da gađa "bilo koju lokaciju" koju izabere, prenosi Si-En-En (CNN). Pročitaj više

0

Danas
Mirko Letunica @ Danas · 11.03.2026 22:44

Novi trijumf crno-belih u gostima: Partizan stigao do desete pobede u sezoni u Evroligi

Košarkaši Virtusa su u 31. kolu Evrolige dočekali Partizan. Slavili su Beograđani sa 88:82 (29:25, 23:23, 13:15, 23:19). Pročitaj više

0

Danas
Dexy @ Danas · 11.03.2026 22:41

Spor JANAF-a i MOL-a: Planirani test kapaciteta naftovoda odložen

Jadranski naftovod (JANAF) sopštio je danas da, iako je mađarski MOL prihvatio predlog o proveri kapaciteta naftovoda pod nadzorom Evropske komisije uz angažman nezavisnog stručnjaka, usaglašavanje još nije postignuto, pa postupak ispitivanja danas nije počeo, kako je bilo planirano. Pročitaj više

0

Danas
Dexy @ Danas · 11.03.2026 22:58

Norveška policija privela trojicu osumnjičenih za napad na ambasadu SAD

Norveška policija objavila je danas da je privela trojicu osumnjičenih u vezi nedeljnog bombaškog napada na američku ambasadu u Oslu, javlja Rojters. Pročitaj više

0

Danas
Vuk Radivojević @ Danas · 11.03.2026 23:00

Liga šampiona: Real slavi kapitena, PSŽ dao pet golova Čelsiju , Bode nastavlja evropsku bajku

Kompletirani su prvi mečevi osmine finala Lige šampiona. Revaš utakmice su na progamu u utorak i sredu, 17. i 18. marta. Pročitaj više

0

Danas
Ivana Sundic @ Danas · 11.03.2026 23:01

I ruski portal piše o „moćnom srpskom oružju“: „MiG-29 prvi lovac u Evropi opremljen hipersoničnim naoružanjem“

Srpski avion lovac MiG-29 dobio je kineske rakete CM-400AKG, koje proizvodi kompanija CASIC i koje dostižu brzinu do šest mahova i imaju domet do 250 kilometara. To, piše ruski portal Lenta, čini srpske MiG-29 prvim lovcima u Evropi opremljenim hipersoničnim naoružanjem. Pročitaj više

0

Danas
Mirko Letunica @ Danas · 11.03.2026 23:07

Poznat protivnik Novaka Đokovića ukoliko pobedi Džeka Drejpera

Srpski teniser Novak Đoković će u četvrtaka rano ujutro igrati protiv Džek Drejpera u Indijan Velsu, ali već zna protivnika u četvrtfinalu turnira. Naravno, ako pobedi domećeg tenisera. Pročitaj više

0

Najpopularniji izvori

  • Vidiš 2,966 vesti od ukupno 2,966.
  • 205 izvora od ukupno 206.
Republika - Hronika 0%
Direktno :: Kuhinjica 0%
Direktno :: Horoskop 0%
Direktno :: Fudbal 0%
Direktno :: Svet 0%
Pogledaj izvore »

LAJKUJ nas na Fejsbuku i neces propustiti najvaznije vesti dana!

18.03.2026 22:25
Ažurirano: 22:22.
Pozicija vesti je ažurirana u: 23:21

Šta je Svetionik.com?

Svetionik.com ti donosi najpopularnije vesti sa srpskih news portala u tabeli u realnom vremenu.

Prijatelji sajta

Ocenjivanje slika
Upoznavanje preko Interneta
Prevoz do aerodroma
Honorarni poslovi Beograd

Pročitaj o nama u FAQ sekciji

In another language

Српски / srpski Eesti keel (Eesti uudised) Русский язык (новости Эстонии) Українська мова (новини Естонії)


Svetionik.com © 2026